こんにちは!熊本市中央区のみやつ歯科口腔クリニックです。
「歯医者さんでサプリメント?」と驚かれるかもしれませんが、実はお口の健康とビタミンCには、切っても切れない深い関係があるんです。今回は、美容感度の高い方の間で話題、そして当院のスタッフもその変化に驚いている高吸収型サプリメント「Lypo-C(リポC)」についてご紹介します!

【なぜ歯科医院が「リポC」を勧めるの?】
実は、歯ぐきの大部分はコラーゲンでできています。ビタミンCはこのコラーゲンを作るために欠かせない栄養素。不足すると歯ぐきが弱り、出血や歯周病のリスクが高まってしまいます。当院が数あるサプリの中から「リポC」を選んだ理由は、その「吸収率」にあります。
- リポソーム技術: ビタミンCをナノサイズのカプセル(リポソーム)に包むことで、通常のビタミンCよりも体内に届きやすく、長く作用します。
- 歯科特有のメリット: 歯肉の出血や歯周病の改善、口内炎のケア、さらにはインプラント手術や抜歯後の感染予防・回復サポートにも期待が持てます。
【実際に飲んでみたスタッフのリアルな感想】
当院のスタッフも実際に「リポC」を生活に取り入れています。個人の感想ですが、参考にしてみてくださいね。
- Aさん(30代女性): 「睡眠の質が上がって、朝の目覚めがスッキリ!肌の調子も良くなって、風邪もひきにくくなった気がします」
- Bさん(30代男性): 「日中の眠気が気にならなくなりました。味は少し独特でしょっぱいですが、オレンジジュースやヤクルトに混ぜると全然気になりません!
【院内受付にてご購入いただけます】
「リポC」は医療機関でも人気のサプリメントです。市販のビタミンCでなかなか実感が得られなかった方も、ぜひ一度お試しください。
- リポC(30包入):7,600円(税込)
「自分に合うかな?」「詳しい飲み方を知りたい」という方は、ご来院の際にお気軽にスタッフまでお声がけください!
お口の中から、全身の健康と美しさを。
みやつ歯科口腔クリニックで、新しい健康習慣を始めてみませんか?
- ブログ
こんにちは。みやつ歯科口腔クリニックです。
こんなお悩みはありませんか?
「治療したのに、また同じ歯が痛くなった」
「根の病巣が原因で抜歯と言われた」
「根管治療を何度も繰り返している」
このようなお悩みをお持ちの方に知っていただきたいのが、マイクロスコープや拡大鏡を使った「精密根管治療」です。肉眼では見えない細部までしっかり確認しながら治療を行うことで、再発リスクの少ない、より確実な治療を目指しています。
精密根管治療とは?
マイクロスコープ(歯科用顕微鏡)を使用して、患部を数倍〜数十倍に拡大して診ながら行う治療のことです。
歯の神経が通る根管は、髪の毛より細く、入り組んだ複雑な構造をしています。
マイクロスコープを使用することで、通常の治療では見逃されがちな小さな病変や汚染部位をしっかり確認できるため、感染源を残さず、治療の成功率を高めることができます。

【精密根管治療のメリット】
精密根管治療には、以下のようなメリットがあります。
・ラバーダム防湿
治療する歯以外をゴムのシートで覆い、お口の中と完全に分離します。
唾液中の細菌が根管に入るのを防ぎ、再感染を予防します。
・治療の再発リスクを軽減できる
感染した組織や汚染物質の取り残しを防ぐことができ、再治療のリスクが減ります。
・抜歯を回避できる可能性が高まる
重症化した根尖病巣でも、歯を残せる場合があります。ただし、歯にヒビが入っている場合は歯を保存することができない可能性があります。
・MTAセメントによる根管充填
高い殺菌効果と密封性を持つため、細菌が繁殖しにくくなります。再発リスクを抑え、歯や骨の再生を促進します。
【当院の治療実例】
実際に当院で精密根管治療を受けられた患者様のケースをご紹介します。
<50代女性・歯茎の痛みを訴えて来院>
「歯茎が痛い」との主訴でご来院されました。診断の結果、歯の根の中に細菌感染が見られたため、以下の精密治療を行いました。
マイクロエンド(精密根管治療): マイクロスコープを使用し、肉眼では見えない感染源を除去。
ファイバー築造: 歯の根が割れるのを防ぐための土台を作製。
ジルコニアクラウン: 耐久性と審美性に優れたセラミックの被せ物を装着。
治療期間・回数: 約3ヶ月(全9回)
費用総額: 約20万円(税込)
リスク・副作用:
治療の経過で歯根破折(歯の根が割れていること)等の要因が見つかった場合、抜歯となる可能性があります。精密根管治療であっても、再感染のリスクが完全にゼロになるわけではありません。
治療前

治療後

【まとめ】
当院では、マイクロスコープと拡大鏡を完備し、虫歯・根管治療などの精密治療に取り入れています。
「何度も同じ歯の治療を繰り返したくない」
「抜歯はできる限り避けたい」という方はぜひ一度ご相談ください。
熊本市で精密根管治療をご検討中の方はご来院をお待ちしております。
こんにちは!
皆さんの中に「歯並びが気になるけど、矯正は目立つから嫌」「矯正したいけど痛いのが怖い」
そんなお悩みの方はいらっしゃいませんか?
今回はそんなお悩みの方に最適な「インビザライン矯正」についてご紹介します!
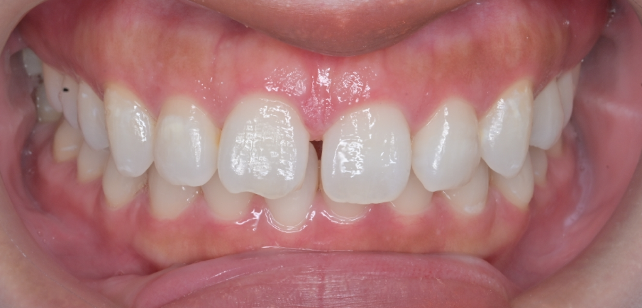
この方は、「噛み合わせがあってないのが気になる。」「自分もマウスピースで矯正ができるか知りたい。」ということで来院されました。
矯正を始める前の状態がこちらです。

前歯が噛み合っておらず奥歯でしか噛み合っていないため、奥歯への負担が大きくなっています。このような噛み合わせを開口(オープンバイト)と言います。
開口の場合、日本で掲げてる80歳の時に自分の歯を20本残そうという8020運動をほとんど達成できないという事が調査で明らかになっています。年を重ねても自分の歯でおいしく食事を楽しんでもらうためにも、開口の方には、矯正をお勧めしてます!

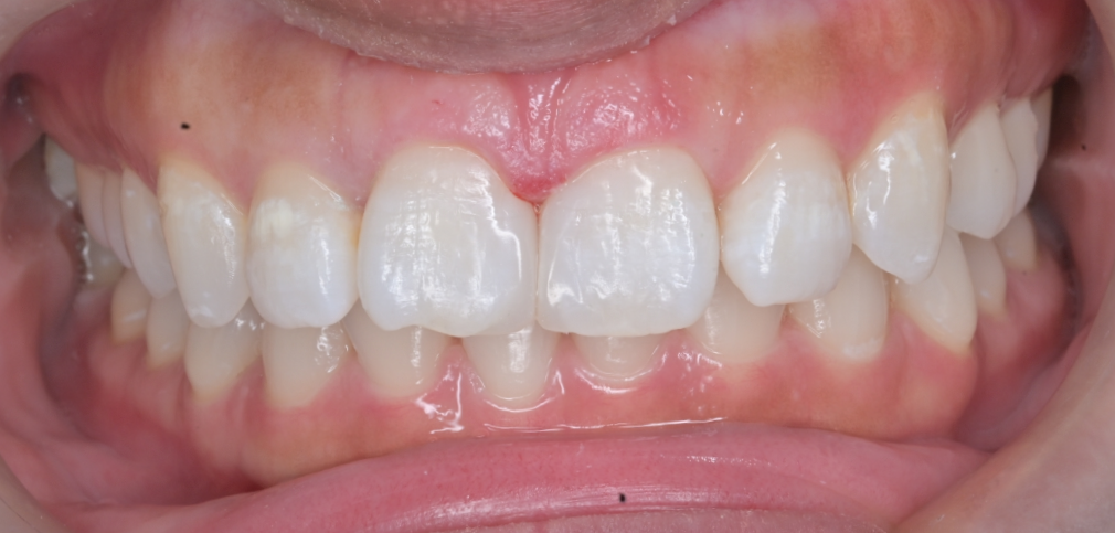
矯正を始めて1年6カ月たった後の状態がこちらです。

矯正を始めたおかげで前歯も噛み合わさるようになり、奥歯への負担も軽減されました。また、矯正を始める前に比べて、見た目も改善されたため患者様もとても喜ばれていました!
メリット
・透明だから見た目が気にならない
・いつでも取り外しができる
・痛みを感じづらい
・金属アレルギーの心配がいらない
デメリット
・自己管理が必須
・飲食のたびに着脱が必要なため手間がかかる
・ワイヤー矯正に比べて費用が掛かる
費用:インビザラインフル ¥770,000∼
20代男性
治療回数:18回
噛み合わせの状態や骨格によっては別の方法で矯正治療を行う場合がございます。
当院ではまず無料相談にて今の歯並びのお悩みを伺い、矯正治療をするとどんな歯並びになるかシュミレーションができます☆
ぜひ一度ご相談されてください(^^♪
みやつ歯科口腔クリニック
こんにちは!
皆さんの中に「お口をあけると銀歯があって笑うときに気になる」「前治療した詰め物が変色してて気になる」
そんなお悩みの方はいらっしゃいませんか?
保険の白い詰め物もありますが、治療してすぐはきれいに見えますが、劣化が早くまた隙間からむし歯が再発してしまいます。
そんなお悩みの方に最適な「ダイレクトボンディング」治療についてご紹介します!
この方は、歯を削る量を最低限に!治療回数もなるべく減らしたい!とのご希望から、ダイレクトボンディングをご提案しました。この治療は型取りが必要ないので1回で治療を終えることができます^^
治療前の状態がこちらです。かみ合わせの面に金属の詰め物が入っています。

材料を丁寧に詰め、完成した状態がこちらです。

こちらの方は他の所にも銀歯がはいっており、治療が進むにつれ綺麗になり嬉しい!とお喜びいただきました。ダイレクトボンディングは長持ちしやすい治療ですが、強くかみ合わせる習慣がある方には別の症例をご提案することもあります。
メリット
・歯を削る量が少なく歯に優しい
・金属を使用しないため、金属アレルギーの心配がない
・治療回数が少なくてすむ
・自然な歯を再現できる
・セラミックよりもコストが抑えられる
デメリット
・正しいブラッシングができていないと、二次的な虫歯ができてしまう
・セラミックやジルコニアに比べると摩耗しやすい
・保険外診療
費用:一歯35200~42900円
50代男性
治療回数:1回
お口の状態を確認して、場合によっては型取りの必要な詰め物、被せ物をしたほうがいいこともあります。まずは診断が大切になりますので、一度ご相談されてください(^^♪
Before

After

みやつ歯科口腔クリニック
こんにちは!
「前歯の隙間が気になる、、、」
「むし歯の治療が必要だけど銀歯は嫌、、、」
というお悩みをお持ちの方はいらっしゃいませんか?
今回は当院で行なっている、前歯のすきっ歯やむし歯を改善できる「ダイレクトボンディング」 についてご紹介します!
ダイレクトボンディングとは
多種類のプラスチック(レジン)を歯に盛り付けていき、天然歯のような自然な色調や形態を再現する治療法です。
ダイレクトボンディングはこんな方にオススメ!!
・歯をできるだけ削りたくない
・前歯がすきっ歯で気になる
・むし歯の再発をなくしてきれいにしたい
・金属の詰め物を白くしたい
ダイレクトボンディングは、歯を削る量を少なく、その日のうちに前歯の隙間やむし歯の治療を行うことができます!
<症例紹介>
今回ご紹介する患者様は、前歯のすきっ歯をダイレクトボンディングで改善できないか?ということで来院されました。
Before

After

メリット
・歯を削る量が少ない
・短期間で治療が終わる
・部分的な修復が可能
・天然歯と馴染んだ仕上がりに
デメリット
・大きな範囲の治療には適応できない
・強い力がかかった場合、かけることがある
・長期の使用により多少の変色がみられる
費用
ダイレクトボンディング(前歯):一本\41,800(税込)
前歯の隙間を埋めたいという場合は二本同時に行うため\83,600(税込)になります。
※前歯の隙間を埋めるためには矯正治療を行ったほうがいい場合もあります。その他の治療として、 ラミネートベニア という治療法も選択肢としてご案内しております。
今回の患者様のように前歯の隙間を埋めたいということで来院されたり、銀歯をいれているけど白くしたいということで、ダイレクトボンディングをされる方が最近では多くいらっしゃいます。むし歯の範囲が大きかったりするとダイレクトボンディングを適応できないことがありますので、お悩みの方はぜひ当院スタッフにお気軽にお尋ねください!
詳しくはインスタグラムにも掲載していますのでぜひチェックしてみてください
みやつ歯科口腔クリニック


こんにちは!
前歯を抜くことになったけど抜いたあと
歯がないままが心配…、周りに気づかれず治療がしたい!そんな方はいらっしゃいませんか?
インプラントと聞くと”歯を抜いてから、しばらく待って…そのあとインプラントを入れる”
という流れをイメージされる方が多いと思います。
近年では、抜歯したその日にインプラントを入れて見た目も機能も回復する治療法が可能になっています!
今回は、抜歯後のインプラント治療の選択肢となる「抜歯即時埋入インプラント」についてご紹介します。
抜歯即時埋入の流れ
この方は、以前外傷で前歯の治療をしており、歯が根のところまで割れてしまったため保存が難しくなりました。
幸い炎症や歯周病もなく骨が十分にあるので、抜歯即時埋入を行うことになりました。
治療前のお写真です。(↓術中のお写真が出てきます)

1 抜歯を行い、インプラント埋入
抜歯後すぐに、抜歯してできた穴をドリルで整え、そこにインプラントを埋めこみます。

2 仮歯
抜歯した当日に仮歯まで入れ、かみ合わせと歯ぐきを安定させます。
手術時間も1時間半程度です。

3 最終的な被せ物
骨や歯ぐきの状態をみて、最終的な被せ物を装着し治療は完了です。

抜歯即時埋入ができないケース
・抜歯の原因が重度の歯周病である場合
・骨が十分にない方
メリット
・手術回数が少ない
・治療期間が短い
・審美性に優れている
・骨や歯ぐきの形を保ちやすい
デメリット
・保険外治療
・高度な技術を要する
・適応症例に限りがある(詳しくは検査をしてからの判断になります)
料金
一本:44万円(税込)~
費用の問題でご相談を受けることがあります。デンタルローンなどの方法もあるため、
ご質問、お悩みなど、どんな小さいことでもお気軽にご質問ください(^^♪
インスタグラムも更新中ぜひご覧ください👇👇
みやつ歯科口腔クリニック
こんにちは!
皆さんの中で、歯の白い模様が気になる!というお悩みをお持ちの方はいらっしゃいませんか?
今回は当院で行なっている、歯の白い模様を削らずに改善できる「アイコン(ホワイトスポット治療)」 についてご紹介します!

上の写真にある歯の表面の白い模様のようなものをホワイトスポットといいます。
アイコン治療はこんな方にオススメ!!
・歯をできるだけ削りたくない
・治療したのがわからないくらいにしたい
・他の歯医者さんで経過観察と言われた
アイコンは、歯を削ることなく、歯に薬剤をしみこませるだけで、その日のうちにホワイトスポットを改善させることができます!
当院では、アイコンをする前にホワイトニングをすると、アイコンのお薬の効果が得られやすくなり、そのほかの歯も白くキレイにすることができるので、併用をオススメしています!(^^)/
<症例紹介>
今回ご紹介する患者様は、前歯の白い模様(ホワイトスポット)が気になるということで来院されました。
また、ホワイトニングにもご興味があるということだったのでアイコン治療を始める前にホワイトニングもされ、前歯だけではなく全ての歯を白くきれいに改善されてます!
Before


After

メリット
・歯を削らなくていい
・治療した歯がわからないくらい自然な仕上がりに
・痛みがほとんどない
・ホワイトニングを併用することでより効果を実感
デメリット
・穴が開いてしまっている歯などには適用できない
・ホワイトスポットの大きさや深さによっては1回の治療で改善しないことがある
・ホワイトニングの薬剤の効果により、一時的に歯がしみる場合がある
費用
アイコン治療:一回\33,000∼(税込)
隣接の歯を二本同時にする場合は二本目が\22,000∼(税込)になります。
ホワイトニング(2か月コース):\95,000∼
※他にもいくつかホワイトニングのコースございます!
最近ではアイコン治療をしたくてわざわざ遠くから来院してくださる患者様が多くいらっしゃいます。また、性別年齢問わず当院では多くの方がホワイトニングをされています!
アイコンには適応する歯とそうではない場合がありますので、アイコン治療やホワイトニングにご興味がある方は、当院のスタッフまでお気軽にお尋ねください^^
詳しくはインスタグラムにも掲載していますのでぜひチェックしてみてください
みやつ歯科口腔クリニック
こんにちは!
歯ぐきが腫れる、血がでる、歯がグラグラする…そんなお悩みの方はいらっしゃいませんか?
それ、もしかしたら原因は歯周病かもしれません!!
当院では、日本歯周病学会 認定医である院長が、専門的な歯周外科治療を行っています。
今回ご紹介するのは、歯周病が進行し、歯を支える骨が弱くなってしまった患者様の症例です。通常のクリーニングや基本治療だけでは改善が難しいため、外科的に歯ぐきを開いて、歯の根元に残った歯石や炎症の原因をしっかり取り除きました。
さらに、今回は、歯周組織の再生を促す薬、『エムドゲイン®』を併用しました。
エムドゲイン®とは?
失われた骨や歯ぐきの再生をサポートさせる薬です。
歯を長持ちさせるためにとても有効な方法で、臨床的にも以前から効果の高いといわれている安全性の高いものです。
〈症例紹介〉
術前のお写真は他の歯と変わらないように見えますが、レントゲンを撮ると、縁下歯石と言われる歯周病の原因となる歯石が大きく確認でき骨の吸収が見られます。


歯石や炎症部分を除去し、エムドゲイン®を使用しました。

術後のレントゲンです。骨が再生してるのがわかります。
メリット
・歯を長持ちさせる
・見えない部分の歯石や感染源を徹底的に除去できる
・失われた骨の回復が期待できる
デメリット
・外科処置のため、一時的な痛みや違和感がでる可能性がある
・保険適応外
費用
¥40000円~
歯周病は進行すると歯を失う大きな原因の1つですが、‘‘静かに進行する病気’‘といわれ、自覚症状がないのが特徴です。
早めの検診とケアで、歯を守ることができます。
出来るだけ自分の歯を残したい、とお考えの方はぜひ一度ご相談ください!
インスタグラムにも掲載中です!ぜひご覧ください(^^♪
みやつ歯科口腔クリニック
こんにちは✨
みやつ歯科口腔クリニックです🦷
◎ホワイトニングもしたい!
◎歯並びも気になる💭
◎矯正中だけどなんだか歯が黄ばんできたような気がする💦
◎ホワイトニングと矯正ならどちらが先をした方がいい?
そんなお悩みありませんか?
当院ではホワイトニングも矯正治療も
同時進行で行うことができます✨
⭐︎今も矯正治療してるけど一緒にホワイトニングもできる?
⭐︎大切な日のために、今よりも口元をよりキレイにしたい!
⭐︎ホワイトニングと矯正治療を一緒に始めたらどのくらいの治療期間がかかる?
など、たくさん気になることがあるかと思います💭👀
当院はホワイトニングに加え、矯正治療も無料カウンセリングを行っております✨
まずはぜひ一度お気軽にお問い合わせください☺️🤍
その他の記事
こんにちは✨
みやつ歯科口腔クリニックです
自分の歯の色が変色して気になる
変色した歯はホワイトニングでキレイになる?
ホワイトニングだけじゃなく他の治療法はある?
その疑問、お答えします
実は、歯の変色は通常のホワイトニングのみでは難しい場合があります。
では、どうしたらキレイになるのか?というと….
『ウォーキングブリーチ(漂白)』という治療法があります✨✨
こちらの治療法は、神経を抜いて変色した歯に対してお薬を詰めていき
歯の内側から白くしていく方法です
ウォーキングブリーチ➕ホワイトニングをした場合
治療した歯も、ほかの部位もトーンアップするため
全体的に自然にキレイになります✨
『自分の歯は適応できるのかな?』
『どのくらいの期間治療に来たらキレイになる?』
など、ご質問やご予約などお気軽にお問い合わせくださいませ
お待ちしております