ホワイトニング

whitening

こんなお悩みありませんか?

  • 歯の黄ばみが気になって、思いきり笑えない
  • セルフホワイトニングでは満足できなかった
  • 就職活動や結婚式など、大切なイベントに向けて印象を良くしたい

LIORAが選ばれる理由

Why Choose LIORA

当院のホワイトニングは、このような特徴がございます。

ホワイトニングで白くならない歯も専門的な処置で対応可能

ホワイトニングだけでは改善できない変色歯やホワイトスポットまで対応が可能。揃った白さが叶うのは、医療ホワイトニングと審美治療を組み合わせられる当院だからこそです。

歯の治療を行いながらホワイトニングができる

ホワイトニングを行う際に、虫歯や歯ぐきの状態もチェックいたしますので、歯の治療を行いながらホワイトニングが可能です。当院ならお口の健康管理とホワイトニングを一緒に済ませることができます。

歯科医師・歯科衛生士がカウンセリングから施術まで担当

歯科医師、歯科衛生士がカウンセリングから施術、その後の治療まで担当いたします。「白くならなかったらどうしよう」「しみるのが不安」といった不安やお悩みにもきちんと答えます。

ホワイトニングを行う4つのメリット

merit

ホワイトニングは歯を白くするために行う施術ですが、
得られるメリットはそれだけではありません。

虫歯予防につながる

ホワイトニング後はフッ素が浸透しやすくなり、歯の表面がつるっとなめらかな状態になるので、細菌も付着しにくく虫歯予防効果も期待できます。

歯周病予防につながる

歯周病菌の数を減らす効果がある過酸化水素を使用しているため、歯や歯茎に付着した歯周病菌を減少させ、症状が出るのを予防できます。

本来の歯以上の白さ

医療ホワイトニングは、歯の内部から黄ばみを落とし、本来の歯の色以上に白くできます。

大切な歯を削らない

専用の薬剤を用いて歯の内側から歯を白くするため、歯を削らずに健康で美しい状態にできます。

ホワイトニングの種類

type

あなたに合ったホワイトニングを選べます。

忙しく、なるべく手間をかけたくない方に

オフィスホワイトニング

歯科医院で専門的に行うホワイトニング方法です。短期間で効果を実感しやすいのが特徴です。忙しい方や、結婚式やイベント前などに歯を白くしたい方へおすすめの方法です。

詳細はこちら

マイペースに続けたい方に

ホームホワイトニング

ホワイトニング用のマウスピースを作り、その中にホワイトニング剤を入れて、ご自宅で白くする方法です。時間がかかりますが好きな時間にすることができます。

詳細はこちら

明確に変化を出したい方に

デュアルホワイトニング

オフィスホワイトニングとホームホワイトニングを並行して行うホワイトニングです。2~6ヶ月ほどの間に短期集中で行います。色戻りがしにくいのが特徴です。

詳細はこちら

神経のない歯の変色が気になる方に

ウォーキングブリーチ

神経がない黒く変色した歯の内部に漂白剤を入れて中から白くしていくホワイトニングの方法です。被せ物にする場合と比べて歯を削る量が少なくて済むのが特徴です。

詳細はこちら

前歯の白い斑点が気になる方に

ホワイトスポット治療

歯を削ることなく歯に薬剤をしみこませる方法で、歯の白い斑点を改善させることができます。最短1回の治療で終わり、痛みもありません。

※ホワイトニングご希望の方は、まずホワイトニングを先に行う必要があります。

詳細はこちら

オフィスホワイトニング

オフィスホワイトニングは、歯科医院で専門的に行うホワイトニング方法です。高濃度の薬剤と特殊なライトを使用することで、短期間で効果を実感しやすいのが特徴です。1回の施術でもトーンアップが期待でき、より理想の白さを目指す場合は、複数回の施術を重ねることでさらに明るくなります。忙しい方や、結婚式やイベント前などに歯を白くしたい方へおすすめの方法です。

症例集

症例1.  20代男性

年齢・性別

20代男性

コース名

オフィスホワイトニング

治療期間

1ヶ月

治療費用

33,000円(税込)

リスク・副作用

痛みの発生が少ない薬剤を使用していますが、施術中に痛みやしみる感じが出る場合があります。

症例2.  30代女性

年齢・性別

30代女性

コース名

オフィスホワイトニング

治療期間

2ヶ月

治療費用

44,000円(税込)

リスク・副作用

痛みの発生が少ない薬剤を使用していますが、痛みやしみる感じが出る場合があります。均一な白さにならず、色ムラが生じる場合があります。

オフィスホワイトニングのメリット

  • 短期間で歯を白くできる。
  • 歯科医師・歯科衛生士にすべての処置を任せて行える。
  • 効果がすぐに実感できる

オフィスホワイトニングのデメリット

  • 理想の白さに達するには複数回の施術が必要である。
  • 色戻りしやすいため、定期的なメンテナンスで白さを維持できる。

施術の流れ

STEP.01

カウンセリング

ホワイトニングが出来るかどうか、検査を致します。
同時に、歯の色の診断も行い、写真を撮ります(問題なく行えると診断された場合)。

STEP.02

歯科医師による診査

虫歯、歯周病等の疑いがある場合は、レントゲンを併用しての診査を行います。

STEP.03

ホワイトニング前のクリーニング

歯をしっかり磨き、歯の表面の汚れを取ります。

STEP.04

歯肉保護+ジェル塗布

歯の周辺を保護し、ホワイトニング剤を歯の表面に塗ります。

STEP.05

光照射

約6分×3回の光照射をします。薬剤の除去と再塗布を含めると合計で約60分間程で終わります。個人差により照射時間が変わる事があります。

STEP.05

終了

最後に再度、歯の表面を磨き、フッ素コーティングを行い施術完了後の歯の色の診断を行い、写真を撮って終わりです。

料金表

種類・内容 料金(税込)
オフィスホワイトニング
施術2回
¥33,000(税込)

※オフィスホワイトニングは、4回券・6回券・10回券の回数券もご用意しております。継続的に白さをキープしたい方におすすめです。

ホームホワイトニング

ホームホワイトニングとは、歯の型を取り、ホワイトニング用のマウスピースを作り、その中にホワイトニング剤を入れて、ご自宅で白くする方法です。
効果がでるまでに少し時間がかかりますが、オフィスホワイトニングに比べ白さを維持します。時間がかかりますが好きな時間にすることができます。強い薬剤を使わないので、不快症状が出にくく、締め付け感が少ないソフトトレーを使用しているため、痛くなりにくいです。

症例集

症例1.  50代男性

年齢・性別

50代男性

コース名

ホームホワイトニング+漂白+ホワイトスポット治療

治療期間

3ヶ月

治療費用

110,000円(税込)

リスク・副作用

痛みの発生が少ない薬剤を使用していますが、痛みやしみる感じが出る場合があります。

症例2.  20代男性

年齢・性別

20代男性

コース名

ホームホワイトニング、アイコン治療

治療期間

1ヶ月

治療費用

88,000円(税込)

リスク・副作用

痛みの発生が少ない薬剤を使用していますが、痛みやしみる感じが出る場合があります。

症例3.  30代男性

年齢・性別

30代男性

コース名

ホームホワイトニング、アイコン治療

治療期間

1ヶ月

治療費用

88,000円(税込)

リスク・副作用

痛みの発生が少ない薬剤を使用していますが、痛みやしみる感じが出る場合があります。

ホームホワイトニングのメリット

  • 自宅でできるホワイトニング
  • 自分の都合でいつでもホワイトニングができる
  • 希望の白さまで白くする事が可能

ホームホワイトニングのデメリット

  • 自分で行うため、手間がかかる
  • 少しずつしか白くならないため、時間がかかる(通常2〜4週間)
  • 効果がわかりづらい
  • 歯や体の状態によっては、ホームホワイトニングができない場合がある

施術の流れ

STEP.01

カウンセリング

お口の中をチェックし、カウンセリングを行います。

STEP.02

マウスピースの作製

歯の型を採り、マウスピースを作製します。

STEP.03

ホワイトニング

専用マウスピース、マウスピースケース、ホームホワイトニングジェルの3点をお渡しいたします。
日中または就寝中に、マウスピースを装着し、ホワイトニングを行います。
回数によって自分の希望の白さまで白くする事が可能です。

STEP.04

メンテナンス

数ヶ月に1〜2回程度、メンテナンスのためのホームホワイトニングを行い、 白さをキープします。
※元の歯の色や状態によって、白くなり方には個人差があります。
※ご来院いただき、追加のジェルのみ購入することもできます。

料金表

種類・内容 料金(税込)
ホームホワイトニング
  • 専用マウスピース
  • マウスピースケース
  • 濃度16%ホワイトニングジェル×4本
¥33,000(税込)

デュアルホワイトニング

オフィスホワイトニングとホームホワイトニングを並行して行うホワイトニングです。2~6ヶ月ほどの間に短期集中で行います。色ムラになりにくく仕上がりがきれいで、色戻りがしにくいのが特徴です。

症例集

症例1.  30代女性

年齢・性別

30代女性

コース名

トライアルコース

治療期間

1ヶ月

治療費用

58,000円(税込)

リスク・副作用

痛みの発生が少ない薬剤を使用していますが、痛みやしみる感じが出る場合があります。

症例2.  50代女性

年齢・性別

50代女性

コース名

ベーシックコース

治療期間

2ヶ月

治療費用

95,000円(税込)

リスク・副作用

痛みの発生が少ない薬剤を使用していますが、痛みやしみる感じが出る場合があります。

症例3.  10代男性

年齢・性別

10代男性

コース名

トライアルコース、アイコン治療

治療期間

1ヶ月

治療費用

113,000円(税込)

リスク・副作用

痛みの発生が少ない薬剤を使用していますが、痛みやしみる感じが出る場合があります。

デュアルホワイトニングのメリット

  • 短期間で歯を白くすることができる。
  • 色戻りしにくく白さが長持ちする。
  • 色ムラのない自然な白さにできる。

デュアルホワイトニングのデメリット

  • 複数回歯科医院に通う必要がある。
  • コストがかかる。

料金表

種類・内容 料金(税込)
トライアルコース
【手軽に短期間で始めてみたい方】
  • オフィスホワイトニング2回+ホームホワイトニング1ヶ月分
  • 歯磨剤付き
¥58,000(税込)
ベーシックコース
【2ヶ月集中でしっかり白さを実感】
  • オフィスホワイトニング4回+ホームホワイトニング2ヶ月分
  • 歯磨剤付き
¥95,000(税込)
ホワイトキープコース
【集中ホワイトニングで理想の白さを目指し、その後も継続しやすく白さを維持したい方 】
  • オフィスホワイトニング6回+ホームホワイトニング3ヶ月分
  • 歯磨剤付き
¥132,000(税込)

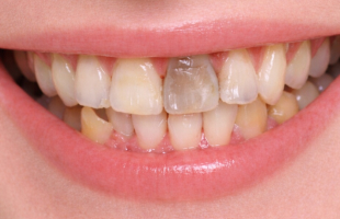
ウォーキングブリーチ

神経がない歯は、時間が経つと茶色や黒色に変色してくることがあります。ウォーキングブリーチとは、神経がない黒く変色した歯の内部に漂白剤を入れて中から白くしていくホワイトニングの方法です。

なぜ神経をとった歯は黒くなるのか

神経をとった歯は、歯の中に栄養や水分が届かなくなるため、血液の循環もなくなり、残留した血液の成分や変色したコラーゲンなどがそのまま蓄積したままになってしまいます。その結果、栄養が行き届かなくなった歯は次第に黒く変色していきます。

治療は、歯の中にいれるお薬の交換を10日〜2週間の間隔で2〜3回必要なので通院が必要です。

※ただし、根の治療が不十分な場合や根の炎症がある場合は先に根管治療を行なってからウォーキングブリーチを行う場合があります。
※神経が残っている歯や、歯の状態が脆くなっている(ほとんど歯質が残っていない)などの場合はこの治療法ができないため、まずはお口の状態を確認してから詳しいご説明をします。

症例集

症例1.  20代女性

年齢・性別

20代女性

コース名

ウォーキングブリーチ

治療期間

6週間

治療費用

22,000円(税込)

リスク・副作用

治療中に痛みがでる場合や後戻りの可能性があります。

症例2.  30代男性

年齢・性別

30代男性

コース名

ウォーキングブリーチ

治療期間

6週間

治療費用

44,000円(税込)

リスク・副作用

治療中に痛みがでる場合や後戻りの可能性があります。

ウォーキングブリーチのメリット

    被せ物にする場合と比べて

  • 歯を削る量が少なくてすむ
  • 安価である

ウォーキングブリーチのデメリット

  • 後戻りすることがある
  • どの程度白くなるかは、歯によって差がでることがあるのでやってみないとわからない
  • お薬をいれたあと痛みが出る場合が稀にある(漂白剤の化学反応で内圧が高まるため)

料金表

種類・内容 料金(税込)
ウォーキングブリーチ ¥22,000(税込)

ホワイトスポット治療

歯を削ることなく歯に薬剤をしみこませる方法で、歯の白い斑点を改善させることができます。最短1回の治療で終わり、痛みもありません。

ホワイトニングご希望の方へ

※ホワイトニングご希望の方は、まずホワイトニングを先に行う必要があります。施術してからホワイトニングをするとホワイトスポットの部位は白くならないため、注意が必要です。

症例集

症例1.  50代女性

年齢・性別

50代女性

治療名

アイコン治療

治療費用

33,000円(税込)

治療回数

1回

リスク・副作用

ホワイトスポットの大きさや深さによって、治療が適応できない場合があります。

症例2.  10代女性

年齢・性別

10代女性

治療名

アイコン治療

治療費用

33,000円(税込)

治療回数

1回

リスク・副作用

ホワイトスポットの大きさや深さによって、治療が適応できない場合があります。

症例3.  10代男性

年齢・性別

10代男性

治療名

デュアルホワイトニング、アイコン治療

治療費用

113,000円(税込)

治療回数

4回

リスク・副作用

ホワイトスポットの大きさや深さによって、治療が適応できない場合があります。

症例4.  20代男性

年齢・性別

20代男性

治療名

ホームホワイトニング、アイコン治療

治療費用

88,000円(税込)

治療回数

3回

リスク・副作用

ホワイトスポットの大きさや深さによって、治療が適応できない場合があります。

症例5.  20代男性

年齢・性別

20代男性

治療名

アイコン治療

治療費用

55,000円(税込)

治療回数

3回

リスク・副作用

ホワイトスポットの大きさや深さによって、治療が適応できない場合があります。

症例6.  30代男性

年齢・性別

30代男性

治療名

ホームホワイトニング、アイコン治療

治療費用

88,000円(税込)

治療回数

3回

リスク・副作用

ホワイトスポットの大きさや深さによって、治療が適応できない場合があります。

ホワイトスポット治療のメリット

  • 歯をほとんど削らない
  • 最短1回の治療でおわる
  • 痛みがない

ホワイトスポット治療のデメリット

  • 虫歯があると適応出来ない場合がある
  • 経年的に変色する恐れがある
  • 完治が困難なケースがある
  • ホワイトスポット治療を行ってからホワイトニングをすると、ホワイトニングの効果が得られない

料金表

種類・内容 料金(税込)
ホワイトスポット治療(1回)
隣接の歯を2本同時にする場合は2本目が¥27,500~(税込)になります。
¥33,000(税込)

アンケート調査

enquete

当院に来院された患者様への
アンケートの結果を公開いたします。
※本アンケートは、当院のサービス向上を
目的として実施したものです。

Q1. 患者様の年代

Q2. ホワイトニングの種類

Q3. ホワイトニングのきっかけ

1 歯の色が気になったから… 57 %

2 受診時の案内がきっかけで興味を持った… 29 %

3 仕事等で人と接する機会が多いから… 14 %

Q4. 当院を選んだ理由

1 治療やメンテナンスで通っていたから… 58 %

2 説明が分かりやすく信頼できたから… 33 %

3 ホームページやInstagram等を見て… 8 %

Q5. 実際に通院してみての感想

  • スタッフの丁寧な対応のおかげで安心して通院することができた
  • 歯磨きに対する意識が変わった

よくあるご質問

ホワイトニングの効果について

どれくらいの期間効果がありますか?

通常6ヶ月から1年程度ですが定期的なメンテナンスを行うことで長期間維持することができます。定期的なメンテナンスも含んだコースもございますので、ご希望に合わせてご案内いたします。

痛みはありますか?

一部の方にはホワイトニング中にしみることがありますが、痛みは通常数時間でおさまります。当院では、しみにくくするためのお薬を使用しており、痛みを最小限に抑えています。

施術時間はどれくらいですか?

オフィスホワイトニングの一回の施術時間は約1時間前後です。ホームホワイトニングの場合は、1回30分〜2時間程度のマウスピースの使用をおすすめしています。

ホワイトニングの種類と違い

医療ホワイトニングとセルフホワイトニングの違いは何ですか?
  • 医療ホワイトニング(歯科医院で行うホワイトニング)

    歯科医師や歯科衛生士が行う専門的なホワイトニングです。特別な薬剤を使用し、歯の内部にまでアプローチできます。歯本来の白さよりも白くすることが可能です。

  • セルフホワイトニング(ホワイトニングサロンなどで行う非医療ホワイトニング)

    歯科医師や歯科衛生士は関与せず、サロンスタッフなどが行います。歯の表面の汚れを除去することが中心で、本来の歯の色を超える白さは期待できません

白くなりにくい条件

白くなりにくい人はいますか?

ホワイトニングの効果には個人差があります。以下のような場合、ホワイトニングの効果が得られにくいことがあります。

  • フッ素コーティングされた歯:

    フッ素処理がされた歯は、ホワイトニング剤の浸透を妨げることがあり、効果が得られにくいです。

  • エナメル質が薄い歯:

    エナメル質が薄いと、歯の内部にある色素(象牙質)が透けて見え、ホワイトニングの効果が弱くなることがあります。

  • 無髄歯や失活歯:

    神経がない歯(無髄歯や失活歯)はホワイトニング剤に反応しにくく、効果が薄い場合があります。

  • テトラサイクリン歯:

    テトラサイクリン系の抗生物質によって変色した歯は、通常のホワイトニングでは効果が得られにくく、別の治療法が必要です。

  • ホワイトスポットやバンディングのある歯:

    ホワイトスポット(歯に現れる白い斑点)や色ムラ(バンディング)は、ホワイトニングの効果を均等に出すのが難しく、ホワイトスポット治療の併用をおすすめします。

  • 加齢による変色:

    年齢を重ねることで歯の黄ばみの変色は強くなるためホワイトニングの効果が得られるまで時間がかかる場合があります。

  • 歯茎のキワや犬歯:

    歯茎の近くや犬歯は、元々の色が濃いため、ホワイトニングで白くするのに時間がかかります。

  • すでにある程度白い歯:

    既にホワイトニングを行っており、白さに達している場合、さらに白くするには時間がかかります。

  • むし歯がある場合:

    虫歯が進行している場合、ホワイトニングは行えません。まず治療が必要です。

その他

妊娠していてもホワイトニングは可能ですか?

妊娠中や授乳中の方は、ホワイトニングに使用される薬剤が体に影響を与える可能性があるため、ホワイトニングはお控えいただいております。安全を優先するため、妊娠が落ち着いてからの施術をおすすめしています。

ホワイトニングの効果に満足できなかった場合、どうすればよいですか?

様々な要因(参照:白くなりにくい条件)でホワイトニングの効果には個人差があるため、事前にしっかりカウンセリングを行い、患者様に最適なコースをご提案いたします。万が一、効果に満足いただけなかった場合でも、しっかりとサポートさせていただきますので、ご安心ください。ご不安な点や疑問点がございましたら、お気軽にご相談ください。

詰め物の色が気になるのでやりかえたいです

ホワイトニングによって詰め物の色は変わりません。ホワイトニング後、歯の白さに合わせて詰め物を再調整し、歯にぴったり合った色に変更します。

無髄歯や失活歯の変色を白くするにはどうしたらいいですか?

無髄歯や失活歯はホワイトニングが難しい場合があり、ウォーキングブリーチという漂白法を用いて、歯の内部から漂白を行うことで白くします。

詳しくはこちら

ご予約・お問い合わせ

CONTACT

当院が初めての方はネット予約ができます。
当日の受診はお電話にてお問い合わせください。