- お知らせ

12月の診療日についてお知らせです。
木曜日は通常休診日ですが、
12月15日(月) 休診
12月16日(火) 休診
12月18日(木) 診療
12月25日(木) 診療
12月27日(土) 休診
12月30日(火)午後 〜1月4日 (日) 休診
※本年最終の診療日は12月28日(土)午前
となっています。
急なお痛みや症状がある方、メインテナンス希望の方など
お気軽にお電話をされてください。
ご理解とご協力の程、宜しくお願い申し上げます。
みやつ歯科口腔クリニック
こんにちは!
前歯を抜くことになったけど抜いたあと
歯がないままが心配…、周りに気づかれず治療がしたい!そんな方はいらっしゃいませんか?
インプラントと聞くと”歯を抜いてから、しばらく待って…そのあとインプラントを入れる”
という流れをイメージされる方が多いと思います。
近年では、抜歯したその日にインプラントを入れて見た目も機能も回復する治療法が可能になっています!
今回は、抜歯後のインプラント治療の選択肢となる「抜歯即時埋入インプラント」についてご紹介します。
抜歯即時埋入の流れ
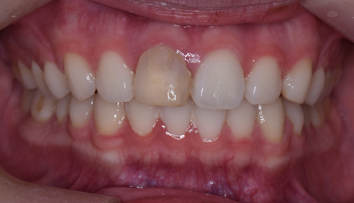
この方は、以前外傷で前歯の治療をしており、歯が根のところまで割れてしまったため保存が難しくなりました。
幸い炎症や歯周病もなく骨が十分にあるので、抜歯即時埋入を行うことになりました。
治療前のお写真です。(↓術中のお写真が出てきます)

1 抜歯を行い、インプラント埋入
抜歯後すぐに、抜歯してできた穴をドリルで整え、そこにインプラントを埋めこみます。

2 仮歯
抜歯した当日に仮歯まで入れ、かみ合わせと歯ぐきを安定させます。
手術時間も1時間半程度です。

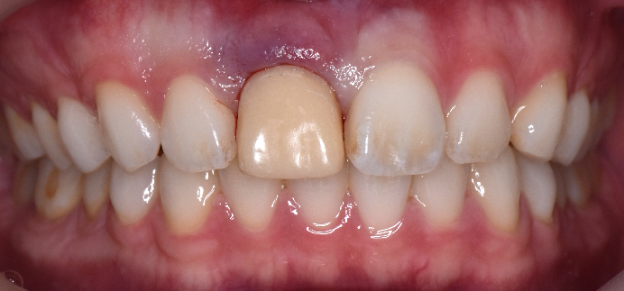
3 最終的な被せ物
骨や歯ぐきの状態をみて、最終的な被せ物を装着し治療は完了です。

抜歯即時埋入ができないケース
・抜歯の原因が重度の歯周病である場合
・骨が十分にない方
メリット
・手術回数が少ない
・治療期間が短い
・審美性に優れている
・骨や歯ぐきの形を保ちやすい
デメリット
・保険外治療
・高度な技術を要する
・適応症例に限りがある(詳しくは検査をしてからの判断になります)
料金
一本:44万円(税込)~
費用の問題でご相談を受けることがあります。デンタルローンなどの方法もあるため、
ご質問、お悩みなど、どんな小さいことでもお気軽にご質問ください(^^♪
インスタグラムも更新中ぜひご覧ください👇👇
みやつ歯科口腔クリニック