- お知らせ

11月の診療日についてお知らせです。
木曜日は通常休診日ですが、
11月3日(月) 休診
11月6日(木) 診療
11月24日(月) 休診
11月27日(木) 診療
となっています。
急なお痛みや症状がある方、メインテナンス希望の方など
お気軽にお電話をされてください。
ご理解とご協力の程、宜しくお願い申し上げます。
みやつ歯科口腔クリニック

こんにちは!
皆さんの中で、歯の白い模様が気になる!というお悩みをお持ちの方はいらっしゃいませんか?
今回は当院で行なっている、歯の白い模様を削らずに改善できる「アイコン(ホワイトスポット治療)」 についてご紹介します!
アイコン(ホワイトスポット治療)

上の写真にある歯の表面の白い模様のようなものをホワイトスポットといいます。
アイコン治療はこんな方にオススメ!!
・歯をできるだけ削りたくない
・治療したのがわからないくらいにしたい
・他の歯医者さんで経過観察と言われた
アイコンは、歯を削ることなく、歯に薬剤をしみこませるだけで、その日のうちにホワイトスポットを改善させることができます!
当院では、アイコンをする前にホワイトニングをすると、アイコンのお薬の効果が得られやすくなり、そのほかの歯も白くキレイにすることができるので、併用をオススメしています!(^^)/
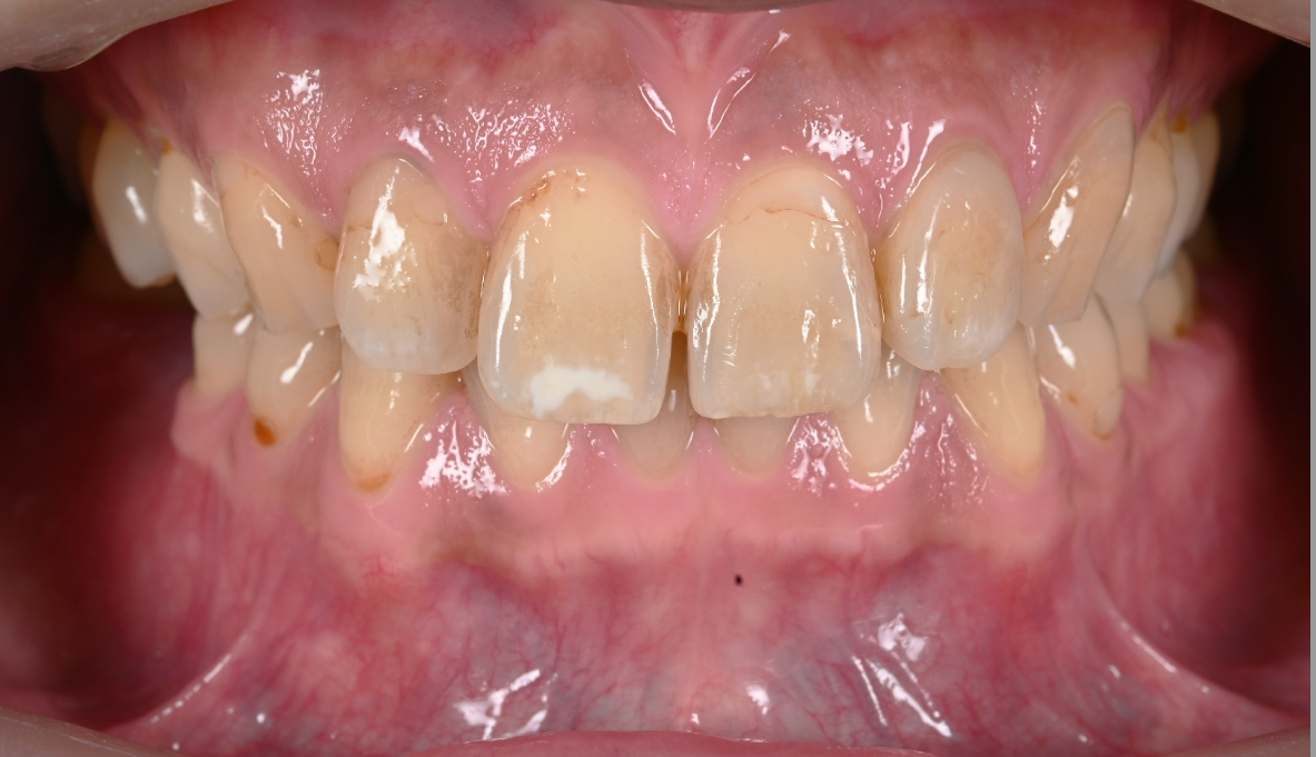
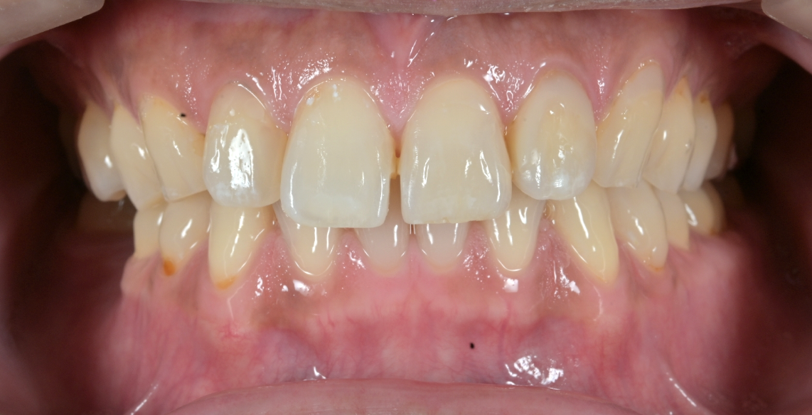
<症例紹介>
今回ご紹介する患者様は、前歯の白い模様(ホワイトスポット)が気になるということで来院されました。
また、ホワイトニングにもご興味があるということだったのでアイコン治療を始める前にホワイトニングもされ、前歯だけではなく全ての歯を白くきれいに改善されてます!
Before


After

メリット
・歯を削らなくていい
・治療した歯がわからないくらい自然な仕上がりに
・痛みがほとんどない
・ホワイトニングを併用することでより効果を実感
デメリット
・穴が開いてしまっている歯などには適用できない
・ホワイトスポットの大きさや深さによっては1回の治療で改善しないことがある
・ホワイトニングの薬剤の効果により、一時的に歯がしみる場合がある
費用
アイコン治療:一回\33,000∼(税込)
隣接の歯を二本同時にする場合は二本目が\22,000∼(税込)になります。
ホワイトニング(2か月コース):\95,000∼
※他にもいくつかホワイトニングのコースございます!
最近ではアイコン治療をしたくてわざわざ遠くから来院してくださる患者様が多くいらっしゃいます。また、性別年齢問わず当院では多くの方がホワイトニングをされています!
アイコンには適応する歯とそうではない場合がありますので、アイコン治療やホワイトニングにご興味がある方は、当院のスタッフまでお気軽にお尋ねください^^
詳しくはインスタグラムにも掲載していますのでぜひチェックしてみてください
みやつ歯科口腔クリニック