こんにちは!
皆さんの中に「お口をあけると銀歯があって笑うときに気になる」「前治療した詰め物が変色してて気になる」
そんなお悩みの方はいらっしゃいませんか?
保険の白い詰め物もありますが、治療してすぐはきれいに見えますが、劣化が早くまた隙間からむし歯が再発してしまいます。
そんなお悩みの方に最適な「ダイレクトボンディング」治療についてご紹介します!
この方は、歯を削る量を最低限に!治療回数もなるべく減らしたい!とのご希望から、ダイレクトボンディングをご提案しました。この治療は型取りが必要ないので1回で治療を終えることができます^^
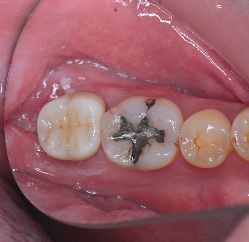
治療前の状態がこちらです。かみ合わせの面に金属の詰め物が入っています。

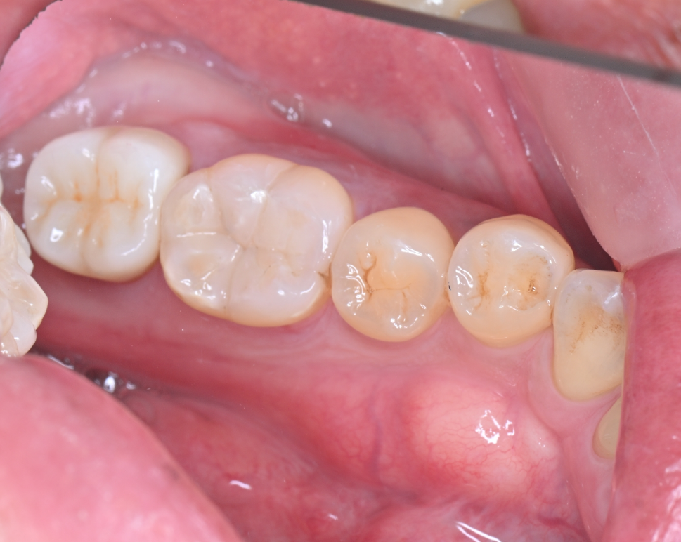
材料を丁寧に詰め、完成した状態がこちらです。

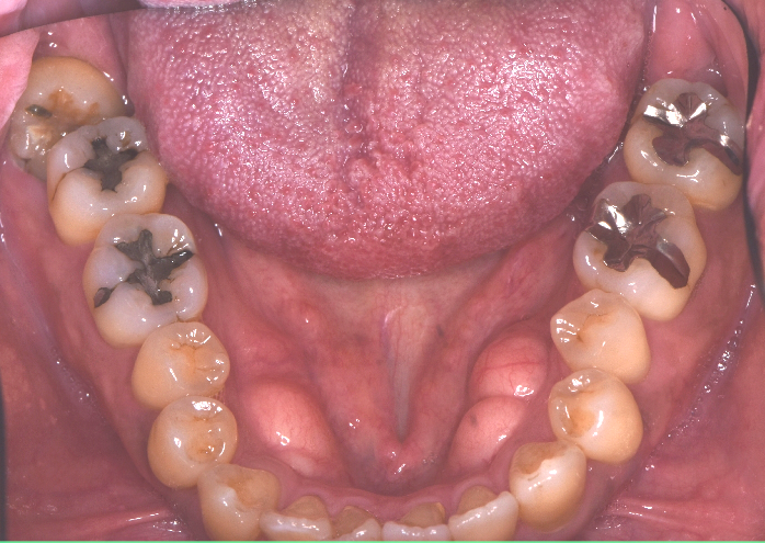
こちらの方は他の所にも銀歯がはいっており、治療が進むにつれ綺麗になり嬉しい!とお喜びいただきました。ダイレクトボンディングは長持ちしやすい治療ですが、強くかみ合わせる習慣がある方には別の症例をご提案することもあります。
メリット
・歯を削る量が少なく歯に優しい
・金属を使用しないため、金属アレルギーの心配がない
・治療回数が少なくてすむ
・自然な歯を再現できる
・セラミックよりもコストが抑えられる
デメリット
・正しいブラッシングができていないと、二次的な虫歯ができてしまう
・セラミックやジルコニアに比べると摩耗しやすい
・保険外診療
費用:一歯35200~42900円
50代男性
治療回数:1回
お口の状態を確認して、場合によっては型取りの必要な詰め物、被せ物をしたほうがいいこともあります。まずは診断が大切になりますので、一度ご相談されてください(^^♪
Before

After

みやつ歯科口腔クリニック