- ブログ
抜歯と言われたその歯残せるかもしれません!!(マイクロエンド・ジルコニアクラウン)
こんにちは!
「以前根っこの治療をしたところが、また治療しないといけなくなった」
「被せ物が必要だけど、銀歯は嫌、、、」
そんなお悩みをお持ちの方におすすめのマイクロエンドとジルコニアクラウンについて紹介します!
マイクロエンドとは
より確実に歯を残すための根っこの治療です。歯の根っこはミクロ単位の繊細な治療になるので、保険の根っこの治療ももちろんしっかり行ってはいますが、どうしても手の感覚での治療になるので再発のリスクが高くなってしまいます。しかし、マイクロエンドでは歯科用顕微鏡を用いて治療を行うため、裸眼の約20倍の視野で汚染部を確実に取り除くことができます。
ジルコニアクラウンとは
見た目と強度に優れた被せものです。歯垢がつきにくい素材のためむし歯が再発しにくいです。セラミックの素材はプラークをはじいて、金属アレルギーをおこさないため、保険の被せものに比べてより長持ちする被せものになります。
マイクロエンドはこんな方にオススメ!!
・以前根っこの治療をしたところがまた治療が必要になった
・再発のリスクを抑えたい
・他の医院ではもう抜歯しかないといわれた
ジルコニアクラウンはこんな方にオススメ!!
・かみ合わせが強い
・銀歯じゃなくて白い被せものがいい
・金属アレルギーがある方
<症例紹介>
今回ご紹介する患者様は、「残っている歯をなるべく残したい。」「銀歯を白くしたい。」ということで、今回マイクロエンドとジルコニアクラウンを選択されました。
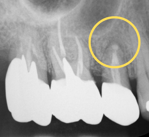
治用前の状態がこちらです

レントゲンを見ると、以前根っこの治療をしたところに膿がたまっているのがわかります。また、奥歯の被せ物も古くなり段差ができてあわなくなってきています。
治療後の状態がこちらです。


マイクロエンドを行ったことで、根っこの病巣をしっかり除去できているのがレントゲンを見るとわかります。また、マイクロエンドを選択していただくと保険では扱うことのできない器具や薬剤を使用できるため、より再発のリスクを抑えることができます。今回の患者様は、ホワイトニングもご希望だったので、被せものの色を白く作成しています。そうすることで、他の歯との色味もなじみ患者様も満足されていました。
メリット
・より高度で確実な治療ができる
・再発のリスクが低い
・見た目と強度が優れてる
デメリット
・抜歯と診断された歯を必ずしも残せるわけではない
・噛み合わせによっては被せものが割れる可能性がある
費用
マイクロエンド(小臼歯):一本¥60,000~
ジルコニアクラウン(大臼歯):一本¥88,000~
60代女性
治療回数 9回
今回の患者様のように以前根っこの治療をしたところがまた再発してしまったという方が多くいらしゃいます。マイクロエンドを取り扱っている歯科医院は少ないため、お話を聞いてみたいという方は是非当院までお気軽におこしください。
詳しくはインスタグラムにも掲載していますのでぜひチェックしてみてください
みやつ歯科口腔クリニック
